



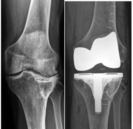
Por primera vez en América Latina se hizo un implante de prótesis anatómica de rodilla, un procedimiento médico de avanzada tecnología que llevó a cabo la Clínica FOSCAL.
Aunque el remplazo de rodilla es una intervención quirúrgica que se practica hace más de 50 años en el mundo, solo hasta hace unos cuantos días se logró hacer un implante completamente anatómico en América Latina, una técnica que hoy se realiza solo en algunas ciudades de Estados Unidos y Europa.
La Clínica FOSCAL Internacional se convirtió en la primera institución médica en Latinoamérica que implanta una prótesis anatómica de rodilla, un procedimiento de última tecnología que les permite a los pacientes recobrar el rango total de movimiento.
“En ningún otro país de Latinoamérica se ha llevado a cabo este procedimiento, ni el 10 % de los ortopedistas conocen este avance. El haberlo hecho primero en Bucaramanga demuestra que la ciudad es líder en tecnología y procedimientos médicos no solo en Colombia, sino también en el resto de Sur América”, aseguró el Doctor Diego Martínez Villalba, Jefe del Departamento de Ortopedia y Traumatología de la FOSCAL.
Este experto agregó: “el miércoles pasado realizamos dos intervenciones de este tipo, pasadas 12 horas desde la operación los pacientes ya podían mover su rodilla, y a la 24 horas después ya podían caminar. El instrumental que utilizamos está alrededor de los $ 11 mil millones y tuvimos que traer todos los suministros desde Inglaterra.
Conforme a la información obtenida, la avanzada tecnología, tanto en los materiales como en la misma técnica de intervención, ofrecen una recuperación más rápida y segura para el paciente.
“Esta prótesis es completamente anatómica, eliminando así el proceso de adaptación y permitiendo una mas rápida rehabilitación, mejor resultado en la sensación de marcha del paciente y un arco de movimiento más amplio que favorece el uso de escaleras y de posiciones extremas de la rodilla, que son requeridas en algunas actividades de la vida diaria”, señaló Martínez Villalba.
Sumado a la eficacia en el proceso de recuperación de la persona afectada, este novedoso implante también tiene una vida útil que supera los cincuenta años.

“Ademas del diseño, esta prótesis mejora la calidad de los materiales de fabricación, ya que se utiliza un material llamado zirconio oxidado, el cual brinda más dureza pero también un coeficiente de fricción inferior, que disminuye el desgaste del material interpuesto entre las dos superficies de la rodilla”, explicó el Jefe del Departamento de Ortopedia y Traumatología de la FOSCAL.
Según este reconocido especialista, aquellas personas que padezcan este tipo de afecciones y que se sometan a una prótesis anatómica de rodilla, “quedarán caminando y haciendo perfectamente los diferentes movimientos de rodilla, no como sucede con la prótesis común que genera muchas incomodidades ya que esta debe aprender a moverse de forma diferente, pues si se realiza un movimiento repentino e indebido la persona puede llegar a estallar los huesos de la pierna”.
Conforme a lo dicho por el doctor Diego Martínez Villalba, este moderno procedimiento quirúrgico se puede llevar a cabo en cerca de 40 minutos.
“Como primer paso, las superficies del cartílago dañado en los extremos del fémur y la tibia se remueven junto con una pequeña cantidad del hueso subyacente, luego el cartílago y el hueso removidos son reemplazados con componentes metálicos que recrean la superficie de la articulación, después la superficie debajo de la rótula se corta y se resuperficializa con un botón de plástico, y por último se inserta en espaciador plástico de uso médico”, detalló Martínez Villalba.
1 Comment
Woah! I’m really enjoying the template/theme of this blog.
It’s simple, yet effective. A lot of times it’s very difficult to get that «perfect balance» between user friendliness
and appearance. I must say that you’ve done a amazing job with this.
Also, the blog loads very quick for me on Safari. Exceptional
Blog!